Accessible Version
Lone Oak Dental

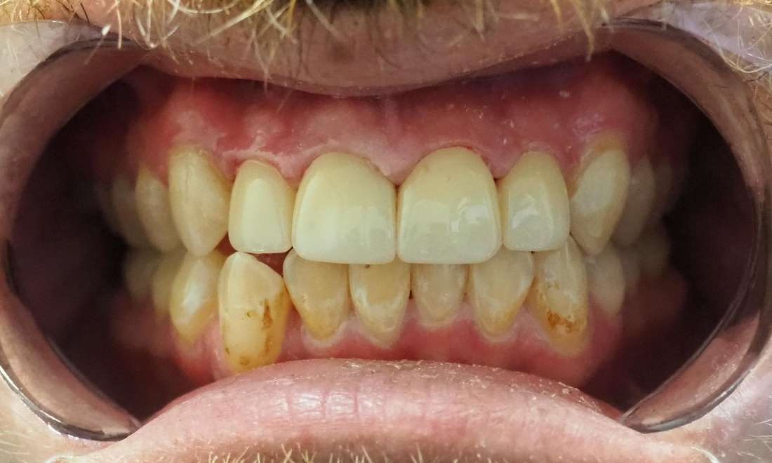
Cosmetic Dentistry After Alcohol Abuse

This wonderful young man came to us with a history of alcohol abuse.  During his years of addiction, his dental care was neglected and avoided.  Fortunately, he went through treatment and freed himself from the grasp of alcohol.  Crowns were completed on his front teeth which gave him more confidence to go out in public!

Improve your smile today – call to schedule a consultation!
If you have difficulty using our website, please email us or call us at (605) 930-4343
View the ADA Accessibility Statement