Toothaches
 As many of us know, there is nothing quite like a toothache. Nothing seems to make it better and that aching pain just won’t go away. If you are experiencing tooth pain, call Lone Oak Dental right away and we will try to see you today!
As many of us know, there is nothing quite like a toothache. Nothing seems to make it better and that aching pain just won’t go away. If you are experiencing tooth pain, call Lone Oak Dental right away and we will try to see you today!
What Causes a Toothache?
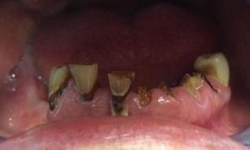
There are several reasons why you could experience a toothache. Two of the most common causes for toothaches are deep cavities and long-standing gum disease.
When a cavity (dental decay) gets close to or into the nerve of a tooth, the nerve in the tooth sends signals back to the brain that something is not right. Your brain interprets this as pain.
Another cause of toothaches is gum disease (periodontal disease). Gum disease is caused by bacteria that live on the surfaces of teeth and in the gums. When these bacteria grow and multiply, the result is loss of the hard and soft tissue that supports the teeth. After a period of time, the gum disease becomes advanced and results in an infection. Loose teeth and bad smelling breath are a sign of advanced periodontal disease.
What Can Be Done to Get Rid of the Pain?
After we meet you and review the problems you are having, we may take an x-ray to help us diagnose what tooth the pain is coming from and what is causing the pain. Looking in your mouth and at your teeth really helps us look for cavities, swelling, and broken or loose teeth.
If the toothache is caused by a cavity and the tooth is fixable, we would recommend root canal treatment. Root canal treatment relieves the pain while allowing you to keep your tooth to smile with and chew on. Despite what people say, the root canal process should not hurt. In our office, the cost for a root canal starts at $680.
If we find that the toothache is from a tooth that cannot be fixed or from severe gum disease, we would recommend removing the tooth. Dr. Jordan has removed thousands of teeth and will go the extra mile to make sure you are completely numb throughout the process. The cost for a tooth removal starts at $185.
At the end of your visit with us, we may recommend prescription medications such as antibiotics or pain medication.
How Can I Avoid a Toothache?
Routine oral hygiene such as brushing and flossing helps remove many of the bacteria that live in your mouth. In addition, scheduling dental cleanings and exams with your dentist on a routine basis will help prevent small dental problems from progressing quickly into sore, infected, and broken teeth.
Please Contact Us to Arrange an Appointment
If you are losing sleep, not eating well, or just can’t take the pain any longer, we are confident that there is relief in sight. Although a toothache may seem like a big problem to fix, the procedures are often painless, and we will bend over backwards to make your visit as comfortable as possible. Let the team at Lone Oak Dental help you eliminate that toothache and get back to a healthy, pain-free mouth.
 
 
 
 
 
