Smile Gallery: Cosmetic Dentistry
Just as you would want to see examples of a carpenter’s work before you have a deck built, you should want to see results that your dentist can achieve. All of the cases shown here were completed by Dr. Bradley Jordan. The dental laboratories that we use are well respected and provide us with strong, great fitting crowns, veneers, and removable appliances. Whether you are looking to have a few fillings replaced or a complete smile makeover, we take pride in our work and will take the time to make sure that it is beautiful, feels good, and lasts a long time.


After years of dealing with worn teeth and a smile he was not proud of, this patient underwent a cosmetic makeover of his lower teeth. This wonderful patient's treatment consisted of veneers, a new bridge and new porcelain crowns. The transformation is stunning and our patient was once again proud to smile!.


This young lady was unhappy with her smile after her braces were removed. She thought her teeth were too narrow and short. Dr. Jordan did porcelain veneers on her 4 front teeth. She was ecstatic with the result and said that she was no longer afraid to smile!


This wonderful young man came to us with a history of alcohol abuse. During his years of addiction, his dental care was neglected and avoided. Fortunately, he went through treatment and freed himself from the grasp of alcohol. Crowns were completed on his front teeth which gave him more confidence to go out in public!



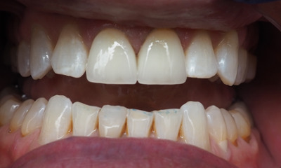
This young man had been battling a smile that he was not proud of and hurting gums. He decided it was time for a permanent solution. Four cosmetic crowns were done that dramatically improved his smile and confidence!


This wonderful lady recently suffered from a failed dental bridge. She had tried a partial denture and could not tolerate it. The partial was uncomfortable and she had a difficult time talking. She was interested in restoring her top teeth with dental implants and fixed teeth. Dr. Jordan and his team completed the teeth-in-a-day procedure and she left with a fixed set of teeth. These teeth could only be removed by a dentist. After healing for 4 months, a final set of fixed teeth was fabricated completing her beautiful smile transformation. Her teeth are also rock-solid!


This individual had broken, worn and chipped front teeth. The front teeth had been filled and the past and the patient was tired of how they looked. The patient and Dr. Jordan agreed on a plan to fix the two front teeth. After shaping the two front teeth, the patient was allowed to test drive temporary crowns to make sure that he liked the size, shape and color. The final result was great and in the words of the patient, "To say I'm happy ...




After dealing with broken and worn front teeth, this patient sought dental help. His broken front teeth prevented him from smiling. The severe wear and bad bite required him to go through orthodontics to open his bite and create space for restorations. After completing orthodontics, direct composite bonding along with porcelain veneers were used to change his smile. We are very thankful that we could a part of this life changing transformation!


This patient presented to us with a dental implant to replace a front tooth that was previously placed out of state. His other front tooth had previously had root canal treatment and a large composite restoration. The first treatment done was decay removal and cosmetic bonding on adjacent teeth to restore the correct width of the teeth. Finally, crowns were done on the dental implant and the adjacent front tooth. The result was fantastic!


This patient lost a lower front tooth due to a chronic infection. The infection had destroyed much of the remaining bone and replacement with a dental implant would have required numerous bone graft procedures. Dr. Jordan and the patient elected to be conservative and replace the tooth with a One Wing Maryland Bridge also known as a resin bonded bridge. Replacing teeth in this manner does not require grinding any teeth down significantly. No numbing was needed in any of the procedures to replace this tooth. We were thrilled with the outcome!







After 40 years of service, this bridge to replace missing anterior teeth needed to be replaced. The new porcelain bridge provided a youthful appearance and rejuvenated his smile.


This lower front tooth was gray and black due to root canal treatment and a leaking composite filling. Internal bleaching was done without the need to numb the patient. After the tooth was lightened to his satisfaction, a new white filling was completed. This was a minimally invasive procedure that gave outstanding results!



Cosmetic dental work can be life changing! This young lady was born with a very small upper incisor. When she was a teenager, a composite filling was added to the tooth to make it look wider. This bonding was well done but over time, the filling had stained and discolored. Dr. Jordan and the patient decided that a porcelain veneer would provide the best long term cosmetic result. During the procedure, the old filling was removed and an impression was taken of the upper teeth. Photographs were taken to help the dental lab match the shade for the final veneer. ...



This patient had a back lower molar that started to hurt when he would bite into foods. He also said that he could feel some discomfort with cold and hot drinks. Dr. Jordan examined the area and did some testing to determine which tooth was causing the pain. As you can see from the first picture, there is a small crack line starting at one end of the tooth and extending towards the cheek side of the tooth. After removing the old silver filling, you can clearly see the crack and which direction it spreads. A dental crown was needed ...




Routine x-rays revealed decay on the back side of this tooth under a silver filling. On the front side of this tooth, there was a tooth colored filling that was touching the silver filling. Removal of both fillings revealed decay on both the front and back of the tooth. After careful and meticulous decay removal, the tooth was restored with a composite. The shade match between the filling and tooth was almost unnoticeable.



This lovely young lady wanted her smile fixed before getting married. She had a history of breaking her front tooth at a young age and it had been fixed over 10 times. The tooth adjacent to her front tooth was what is know as a peg lateral incisor. These teeth are very small and narrow. She was instructed to start whitening her teeth at home for 1 month prior to having her smile reconstruction. With the patient's input and Dr. Jordan's suggestion, a porcelain veneer was done on the larger tooth and a composite veneer was completed on the lateral ...











This pleasant woman came to us missing two of her upper left teeth. At that time, she was wearing a flipper to replace the teeth but admitted that she would cover her mouth when she smiled and laughed. Dr. Jordan placed 2 dental implants in the area and allowed the area to heal. An impression (mold) was taken and 2 custom abutments and 2 porcelain crowns were placed. She was ecstatic with the result and no longer felt like she needed to cover her mouth when she smiled!














This tooth had an old, average-size silver filling. However, the silver (amalgam) filling had several crack lines in it. When a silver filling has cracks in it like these, bacteria can get through the cracks and cause dental decay. The amalgam filling was removed which revealed a significant amount of decay. Fortunately, the decay did not go into the nerve of the tooth and it was restored with a large, bonded composite.














This gentleman broke a lower incisor and the tooth could not be fixed. The tooth was removed and a narrow diameter implant was placed and allowed to heal. After osseointegration of the implant, an impression (mold) was taken. From the impression, a custom abutment and full zirconia crown were made. The result is life-like and strong. Zirconia crowns resist fracture and wear similar to natural teeth.