Accessible Version
Lone Oak Dental

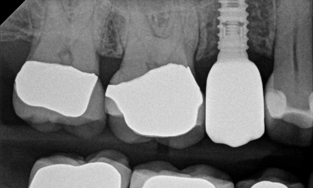
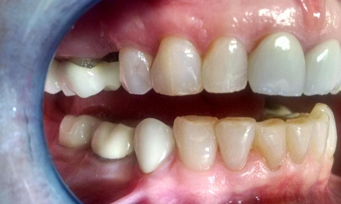
Dental Implant with Sinus Lift

This wonderful patient came to us all the way from Colorado to have a dental implant done. At her first evaluation appointment, an x-ray was taken and Dr. Jordan determined that a minor sinus lift was needed to allow room for a dental implant. The sinus lift and insertion of the dental implant went perfectly! After healing, a tooth colored crown was placed on top of the implant and as you can see, it looks very life-like. She was very pleased.
Improve your smile today – call to schedule a consultation!
If you have difficulty using our website, please email us or call us at (605) 930-4343
View the ADA Accessibility Statement