Accessible Version
Lone Oak Dental

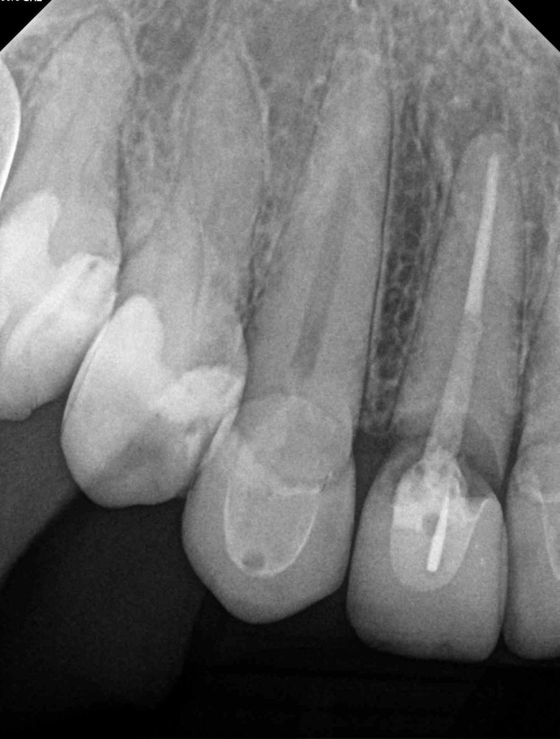
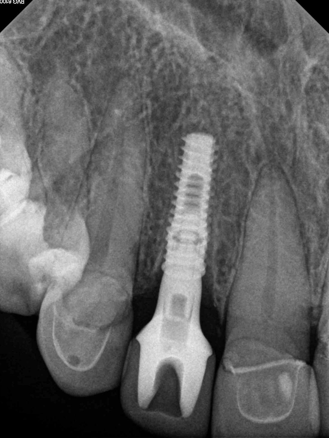
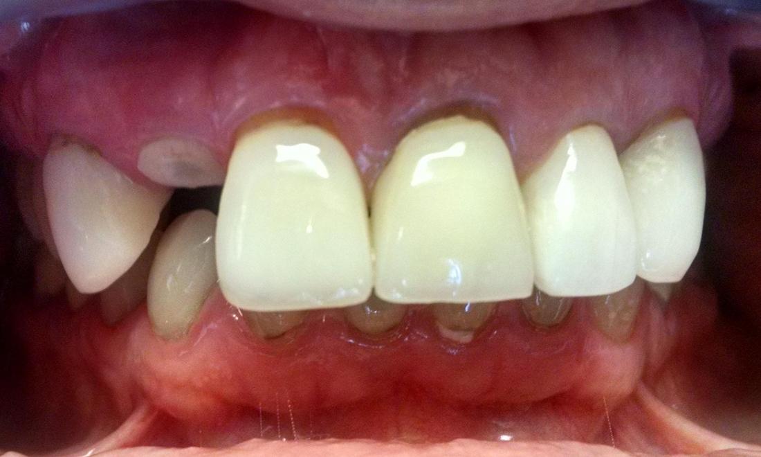
Front Tooth Dental Implant

This young lady developed decay and a loose post under a crown. Unfortunately, the tooth could not be repaired and was removed. After a period of healing, a dental implant was placed by Dr. Brad Jordan. The final porcelain crown matches the crowns on her other front teeth very well.
Not finding what you need?
If you have difficulty using our website, please email us or call us at (605) 930-4343
View the ADA Accessibility Statement