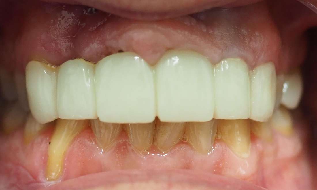
After 40 years of service, this bridge to replace missing anterior teeth needed to be replaced. The new porcelain bridge provided a youthful appearance and rejuvenated his smile.
 
After 40 years of service, this bridge to replace missing anterior teeth needed to be replaced. The new porcelain bridge provided a youthful appearance and rejuvenated his smile.