Accessible Version
Lone Oak Dental
Request an Appointment
Like us on Facebook
Visit us on Yelp
Watch our Youtube Videos
Leave a Google Review
Instagram
Bing
FourSquare
(605) 930-4343
102 22nd Ave S.
Brookings, SD 57006
Pay Online
Menu
Call
Book Now
Map
Home
About
Our Team
Technology
Office Pictures
Services
View All
Crowns & Bridges
Toothaches
Dental Implants
Teeth Whitening
Wisdom Teeth Removal
Full & Partial Dentures
Preventive Care
Cosmetic Dentistry
Sleep Apnea Treatment
Smile Gallery
View All
Cosmetic Dentistry
Crowns & Bridges
Dental Implants
Full & Partial Dentures
Preventive Care
Teeth Whitening
Toothaches
Testimonials
Patient Info
View Patient Info
Forms
Financial
FAQs
Contact
Lone Oak Dental
>
Smile Gallery
>
Dental Bridge
Dental Bridge
Return to Smile Gallery
Previous
Next
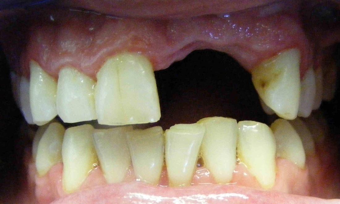
Two front teeth had to be removed due to resorption and a fracture. This patient elected to have the missing teeth replaced with a bridge.
Related Services:
Crowns & Bridges
Cosmetic Dentistry
Click image to see a larger picture
Before
After
Getting an appointment is
fast
and
easy
!
Get Started!
If you have difficulty using our website, please
email us
or call us at
(605) 930-4343
View the
ADA Accessibility Statement
Turn on ADA Views
Privacy Policy
OK!
×
×
Contact Us Today
Give Us A Call
Lone Oak Dental -
(605) 930-4343
Send Us an Email
Request an Appointment
Contact Us
Ready to Schedule an Appointment?
Book Online
Are you ready to start Smiling Again?
Required Field
Your Name:
Phone:
Email:
Are you a new patient?:
Are you a?
New Patient
Current Patient
How would you like us to contact you?
Please choose
Email
Call
How did you hear about us?
Please choose
I'm an existing patient
Google/Bing
Mailer
Word of mouth
Social media
Other
Who Referred You?:
Appointment Preferences
Monday
Tuesday
Wednesday
Thursday
Your Message:
This site is protected by reCAPTCHA and the Google
Privacy Policy
and
Terms of Service
apply.
Sending...
×
This Patient's Experience
Loading Testimonial...
Loading Case...