Accessible Version
Lone Oak Dental

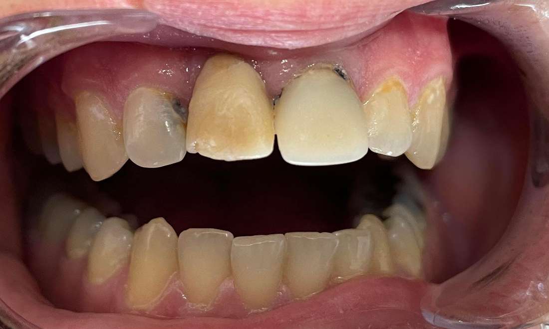
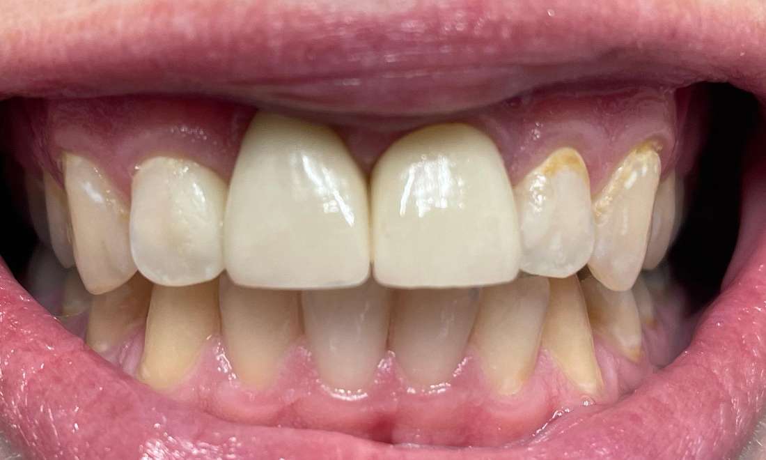
Dental Crowns for Implant and Front Tooth

This patient presented to us with a dental implant to replace a front tooth that was previously placed out of state. His other front tooth had previously had root canal treatment and a large composite restoration. The first treatment done was decay removal and cosmetic bonding on adjacent teeth to restore the correct width of the teeth. Finally, crowns were done on the dental implant and the adjacent front tooth. The result was fantastic!

Improve your smile today – call to schedule a consultation!
If you have difficulty using our website, please email us or call us at (605) 930-4343
View the ADA Accessibility Statement
Privacy Policy