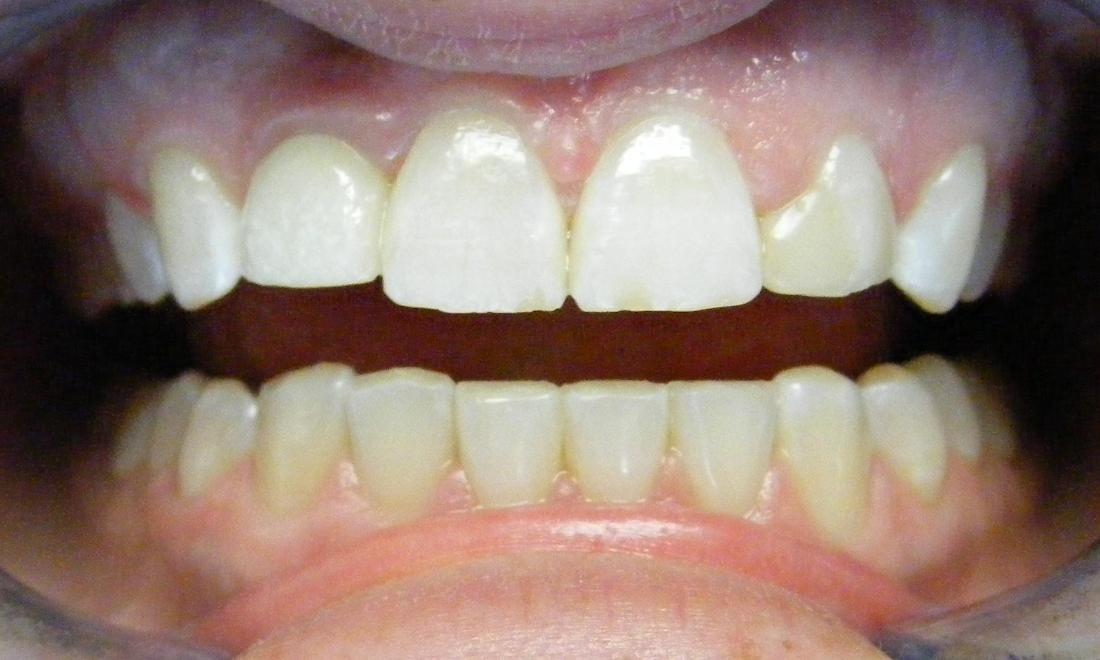
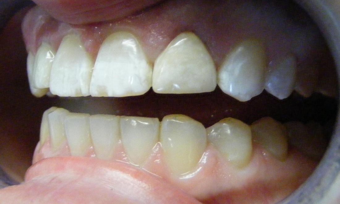
Cosmetic dental work can be life changing! This young lady was born with a very small upper incisor. When she was a teenager, a composite filling was added to the tooth to make it look wider. This bonding was well done but over time, the filling had stained and discolored. Dr. Jordan and the patient decided that a porcelain veneer would provide the best long term cosmetic result. During the procedure, the old filling was removed and an impression was taken of the upper teeth. Photographs were taken to help the dental lab match the shade for the final veneer. We were thrilled with the final result which should last years.
 
 
 
