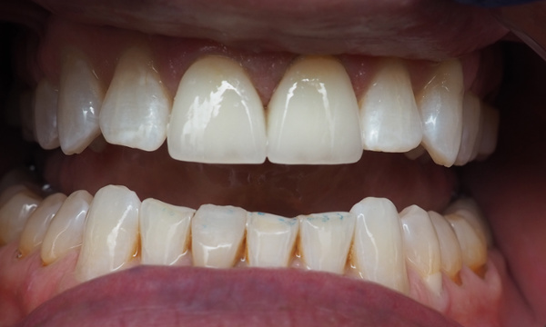
Front Two Teeth Fixed with Veneers

This wonderful patient had a history of chipped front teeth.  These teeth had be patched with composite fillings numerous times.  He was ready for a permanent solution.  Veneers were done on his front two teeth which resulted in a natural, strong and more permanent solution!

Getting an appointment is fast and easy!