Full Mouth Dental Implants

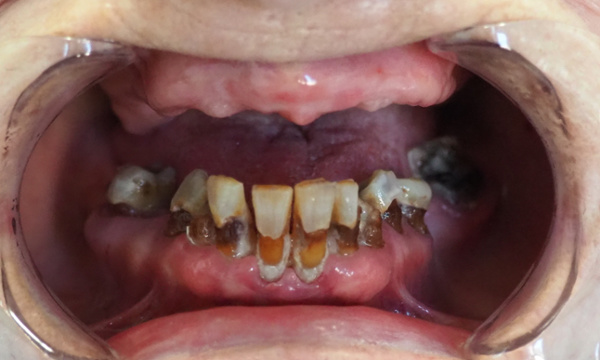
This elderly patient came to us unable to wear her upper denture.  Her lower teeth were loose and failing.  She elected to invest in herself and had all of her upper teeth replaced with dental implants.  These can only be removed by a dentist.  She has completed the upper arch and will start on the bottom teeth now.  The result is absolutely life changing!

Ready to book an appointment?