Accessible Version
Lone Oak Dental

Porcelain Veneer and Composite Veneer to Improve Smile

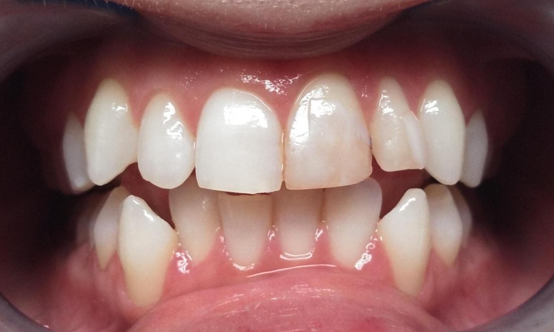
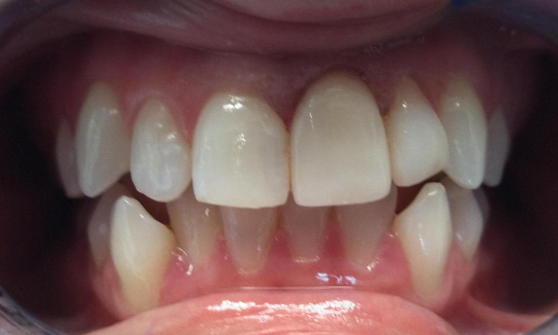
This lovely young lady wanted her smile fixed before getting married.  She had a history of breaking her front tooth at a young age and it had been fixed over 10 times.  The tooth adjacent to her front tooth was what is know as a peg lateral incisor.  These teeth are very small and narrow.  She was instructed to start whitening her teeth at home for 1 month prior to having her smile reconstruction.  With the patient's input and Dr. Jordan's suggestion, a porcelain veneer was done on the larger tooth and a composite veneer was completed on the lateral incisor.  She was ecstatic  with the result and is ready to be a smiling, beautiful bride! 

Improve your smile today – call to schedule a consultation!
If you have difficulty using our website, please email us or call us at (605) 930-4343
View the ADA Accessibility Statement