Accessible Version
Lone Oak Dental

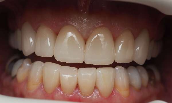
Smile Rejuvenation with 10 Veneers

Our wonderful patient was tired of dealing with chipped front teeth and crack lines.  She wanted to be able to smile with confidence!  After discussing her goals with Dr. Jordan, the plan was made to complete 6 veneers on her upper teeth and 4 on her lower teeth.  The transformation allowed for a brighter smile without chips and wear.  Truly a confidence booster!

Improve your smile today – call to schedule a consultation!
If you have difficulty using our website, please email us or call us at (605) 930-4343
View the ADA Accessibility Statement
Privacy Policy