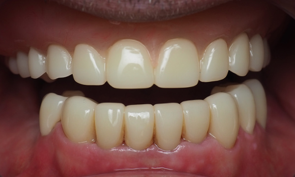
Smile Rejuvenation for Worn Teeth

This gentleman came to us with broken and worn teeth.  The teeth had become sharp to his tongue and he did not like how they looked.  After discussing options, Dr. Jordan and our patient decided to have all his lower teeth crowned.  By doing so, it opened his bite and made the teeth look and feel so much better.  We think it looks very natural!

Improve your smile today – call to schedule a consultation!