Accessible Version
Lone Oak Dental

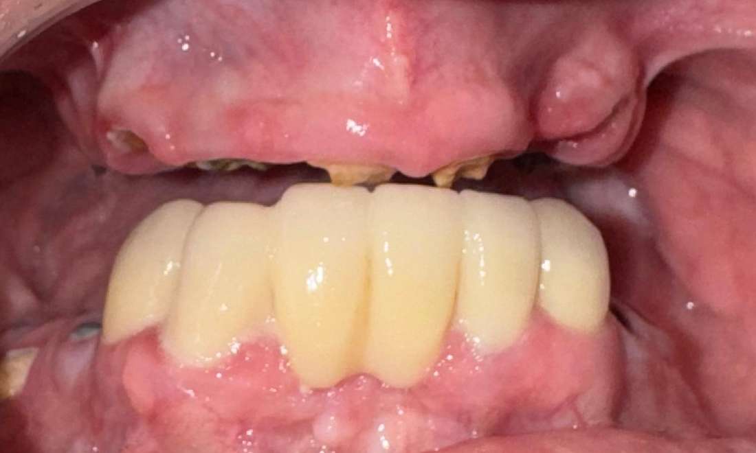
Teeth In A Day

Taking someone with failing and broken teeth who cannot chew or smile is extremely rewarding.  That is exactly what we did for this gentleman.  His upper teeth were broken at the gumline, infected and he told us that he was having a difficult time eating.  With proper planning and training, Dr. Jordan was able to utilize dental implants and give him teeth back the same day that they were removed.  These are fixed teeth that only a dentist can remove and this procedure is commonly referred to as the All-on-4 or All-on-6.  The patient was ecstatic and cannot wait to do his bottom teeth!

Florence Testimonial
Ready to book an appointment?
If you have difficulty using our website, please email us or call us at (605) 930-4343
View the ADA Accessibility Statement