Upper Teeth Fixed with Implants

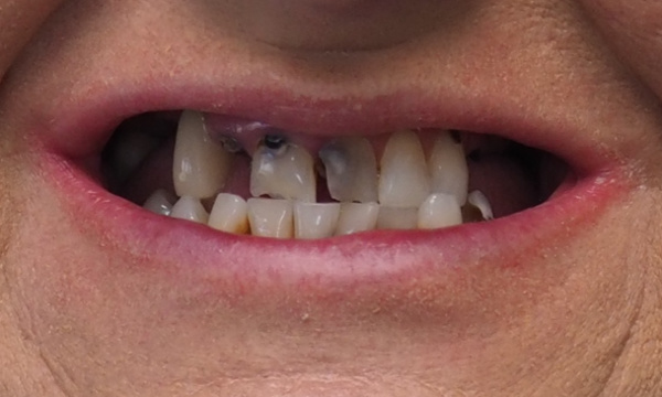
This lovely lady came to us knowing that her teeth were in poor condition.  Her remaining upper teeth were broken, decayed, loose and some were even just the roots.  Dr. Jordan reviewed options with her and she decided to undergo the "Teeth in a Day" procedure.  Her remaining teeth were removed, dental implants were placed the same day and she left the office with a new set of fixed temporary teeth.  After healing, a final set of fixed teeth were made that were customized for shape, color and size.  

Getting an appointment is fast and easy!